
이 오동통함을 자랑하시는 분은 1565년에 태어나 1619년에 가셨다는 프랑스 귀족 여성 산 앤 달레그르 Anne d’Alègre라는 분이라 한다. 프랑스어 정확한 표기는 누가 확인 좀 해주셨으면 한다.
전신은 다음과 같다 한다.

얼굴만 확대한 이유는 아래서 드러난다.
암튼 저 분 1583년 9월 1일, 라발의 백작 Count of Laval인 기Guy 19세와 결혼했다가 1586년 남편이 사망하자 라발, 몽포르, 하르코트의 태후 백작부인[Dowager Countess of Laval, Montfort, Harcourt]이자 퀸틴과 비트레의 남작부인[Baroness of Quintin and Vitré]이 된다.
종교 측면에서 개신교도인 전력이 여러 논란을 일으킨 모양이라, 암튼 죽어서 그의 유해는 지금의 프랑스 북동부 라발 성 Chateau de Laval에 묻혔으니,
그렇게 줄곧 지하에서 잠들어 계셨으면 모를까 1988년 이 분이 느닷없이 이 땅에 재림하시게 된다.
이 무렵 돈과 권력 있는 사람들 보면 대체로 납관lead coffin에 안치되는데, 이 분은 그에다가 방부처리embalmed까지 된 모양이라 이 덕분에 뼈와 이빨이 놀라울 정도로 보존 상태가 좋았다.
17세기 초 프랑스 귀족 사회 최상층을 구가하며 권력을 쥔 이 여인은 금 와이어로 이빨을 고정하고선 매혹적인 미소를 유지하려 했겠지만
아마도 고통스러운 시술 때문에 고통받았을 수도 있다는 연구성과가 2023년 나왔다.

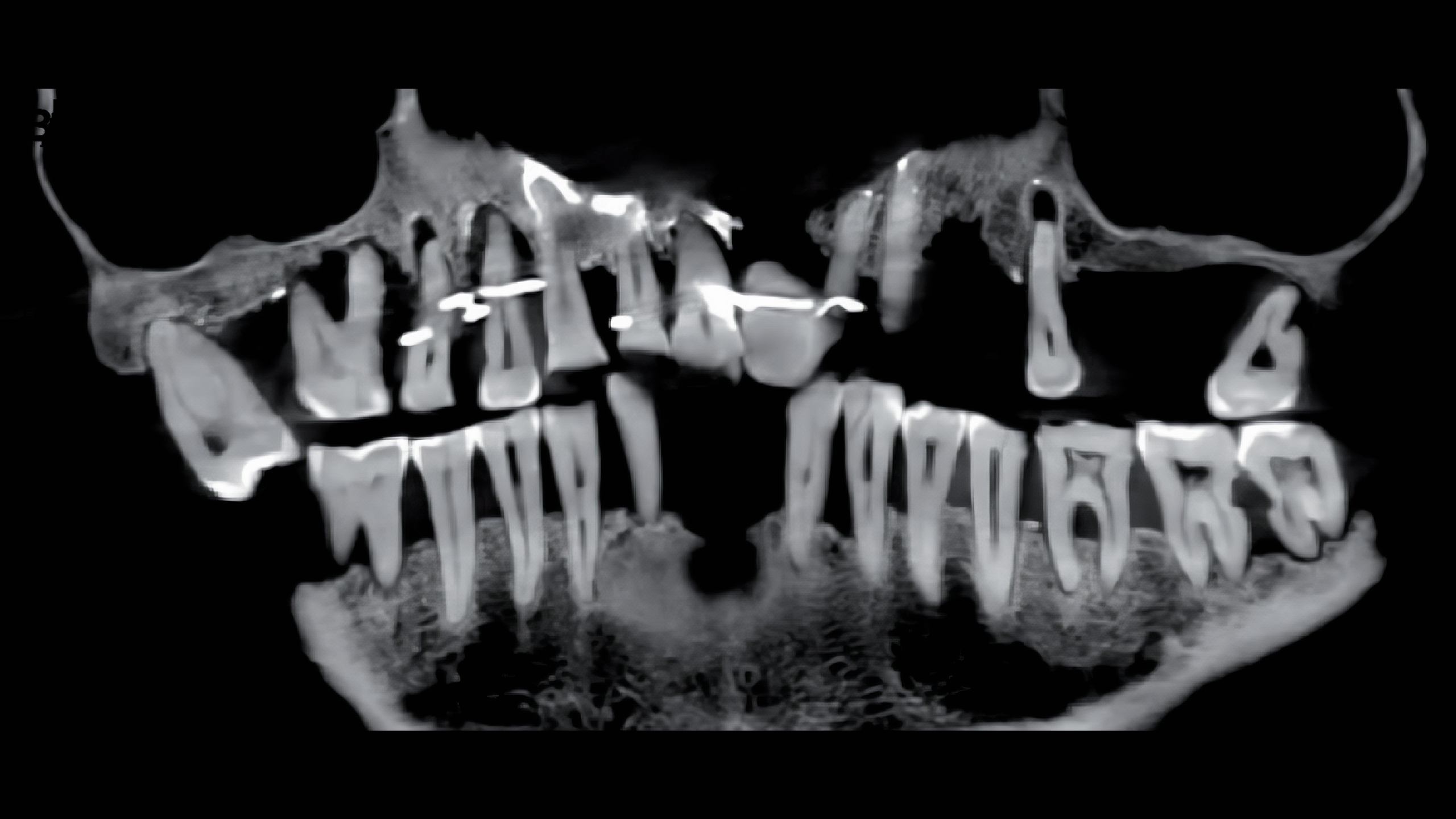
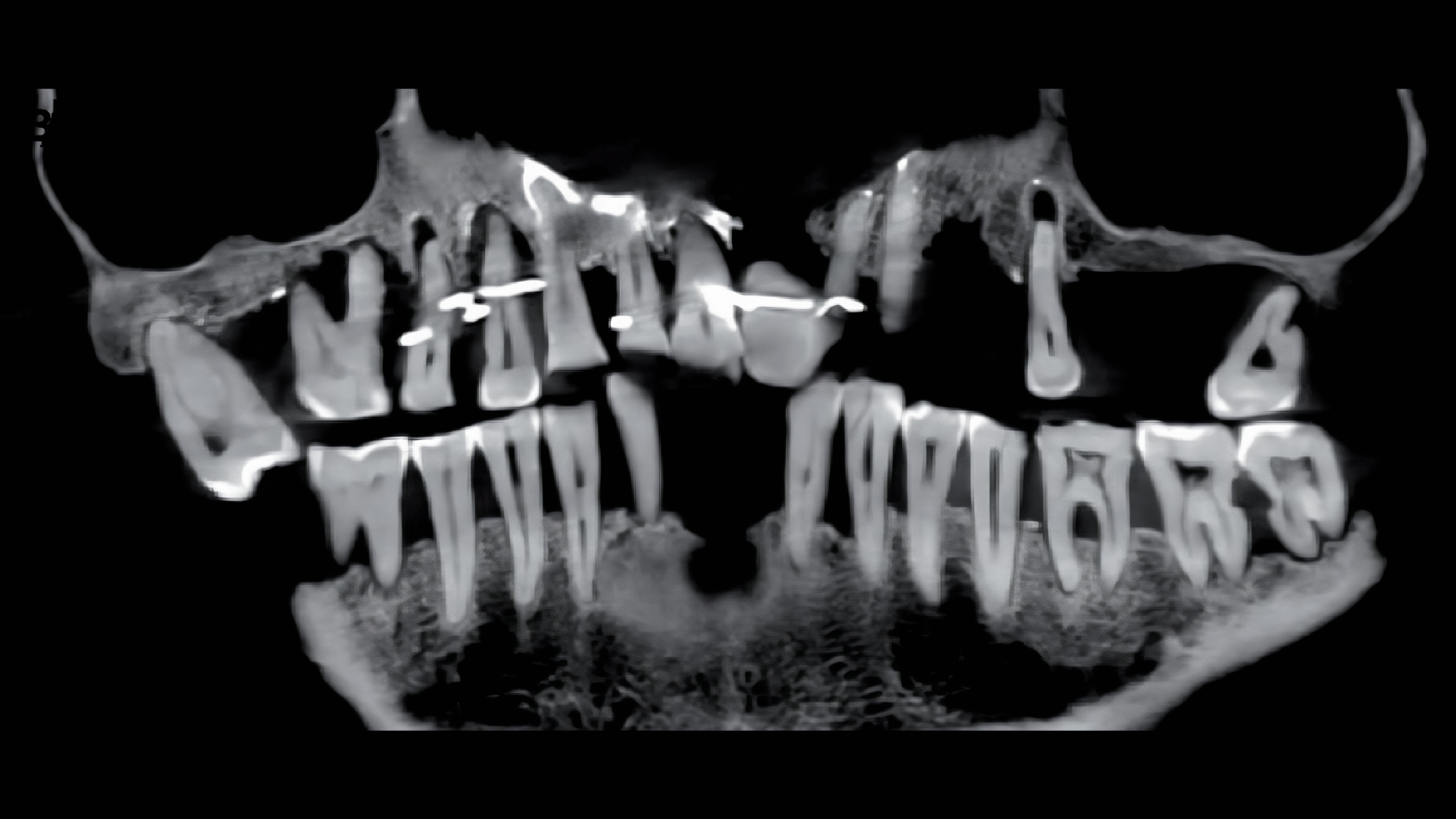
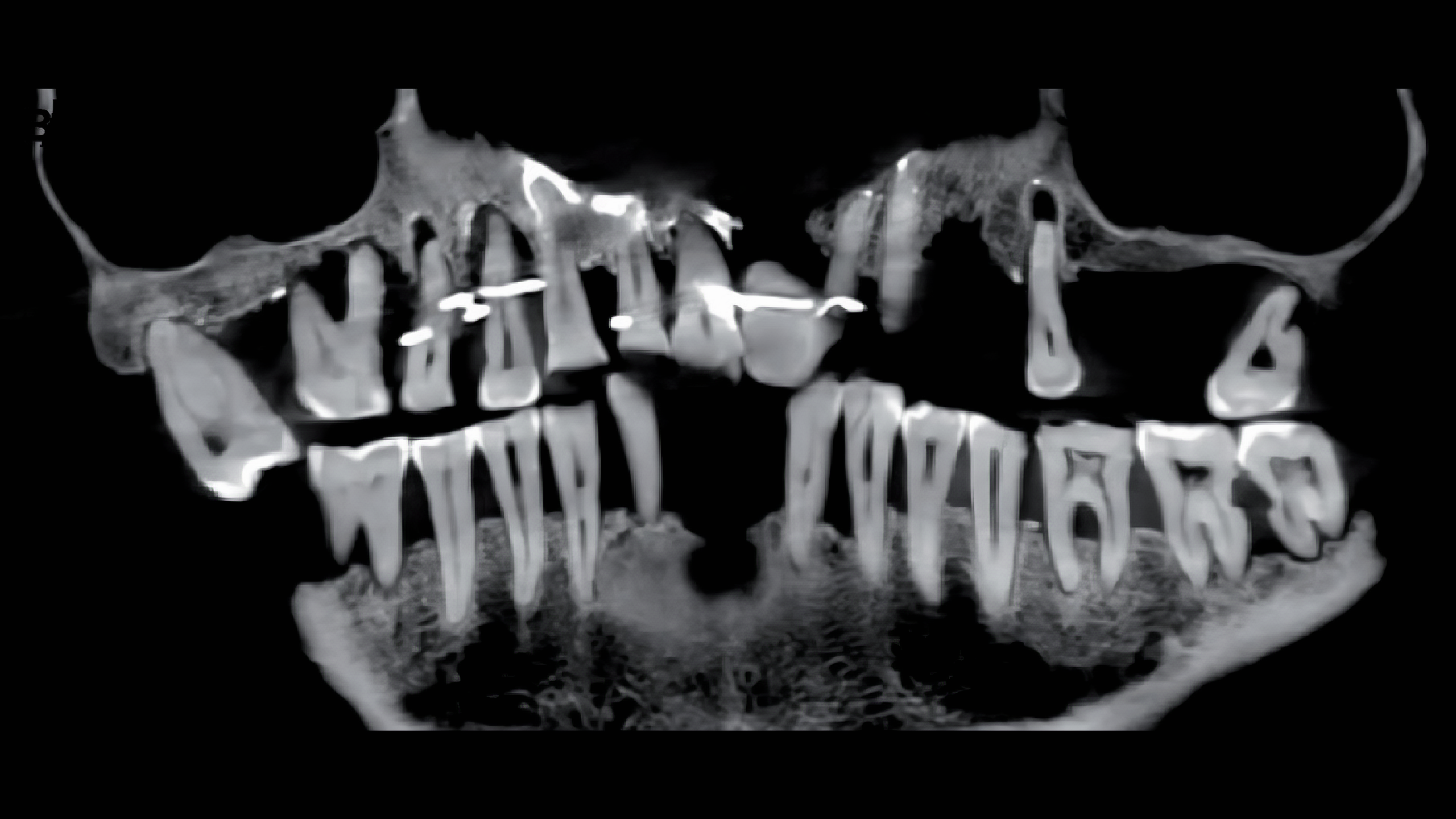
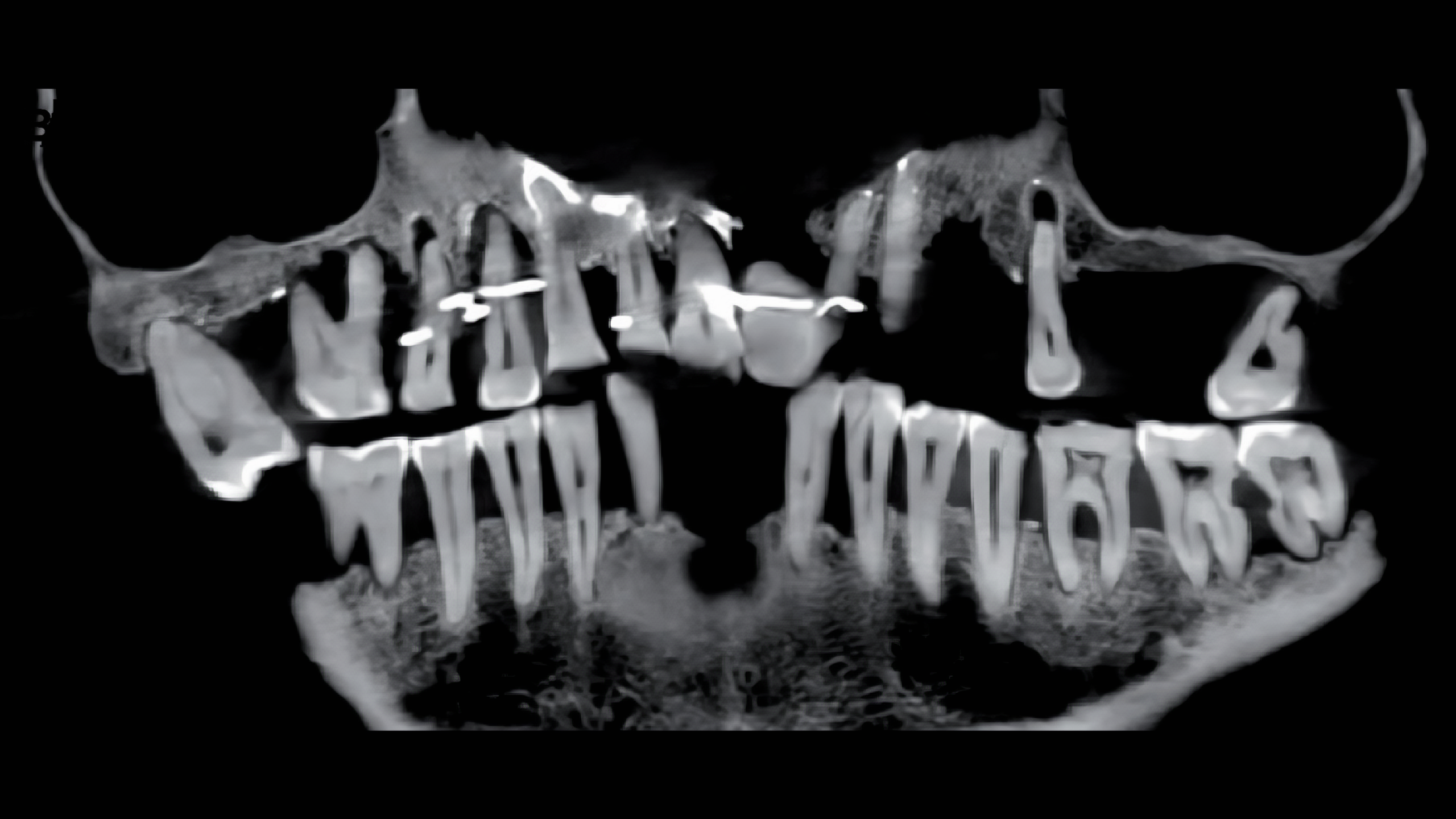
프랑스 렌에 있는 국립 예방 고고학 연구소 National Institute for Preventive Archaeological Research (INRAP) 고고학도 로젠 콜레터Rozenn Colleter는 1988년 발굴 유골 중 이빨에서 가짜 이빨false tooth과 결찰ligatures(무언가를 묶는 데 사용되는 실이나 와이어의 의학 용어)이 있음을 발견했다. [false tooth가 무엇을 말하는지 모르겠다. 틀니인가?]
2023년 1월 24일 Journal of Archaeological Science: Reports에 공간된 연구성과에서 X선을 사용하여 3차원 이미지를 만드는 "콘 빔cone beam"으로 그의 두개골을 스캔한 결과 d'Alègre는 심각한 치주 질환periodontal disease을 앓았으며
이때문에 많은 치아가 느슨해졌고 그런 치아가 빠지지 않도록 미세한 금 와이어fine gold wires를 삽입했다는 사실이 밝혀냈다.
이 와이어는 잇몸 근처 치아 바닥을 감았다. 치아 중 일부는 와이어를 넣고자 뚫린 상태였고, 이미 이빨 일부가 빠져 그 부분은 코끼리 상아로 만든 가짜 치아도 넣었다. 임플란트? 시술 비슷하게 한 셈이다.

이런 치아 고정 방식이 지금은 원시적이겠지만 당시에는 혁신적인 치료법이었다고 한다.
하지만 이런 치료는 고통스러웠을 것이고, 와이어를 주기적으로 다시 조여야 했을 것이라고 한다.
이런 잦은 치료가 주변 치아까지 더 불안하게 만들었을 것이라고 한다.
그렇다면 왜 달레그르는 그토록 고통스러운 치료를 견뎌냈을까? 상류 사회에 속한 그가 치아를 보존해야 한다는 사회적 압력을 느꼈을 것이기 때문이라 한다.
그는 결혼을 두 번을 했다가 모두 과부가 됐지만 사교계 명사였다.
그런 그에게 아름다운 미소가 얼마나 중요했겠는가?

D'Alègre는 프랑스 종교전쟁French Wars of Religion 당시 로마 가톨릭이 다수를 차지하는 가운데서 개신교도 또는 위그노교도Huguenot였으며, 21세가 되기 전에 제1차 과부가 되었다.
이 와중에 재산은 압류되었고, 1585년부터 1589년까지 프랑스 제8차 종교전쟁에서는 가톨릭군을 피해 숨어지내야 했다.
그의 아들 Guy는 헝가리에서 싸우던 중 20세에 죽었다. D'Alègre는 다시 결혼했지만 다시 과부가 되었고, 그러다가 알 수 없는 질병으로 54세에 사망했다.
이 소식은 아래에 기초한다.
https://www.livescience.com/17th-century-frenchwomans-innovative-gold-dental-work-was-likely-torturous-to-her-teeth
17th-century Frenchwoman's 'innovative' gold dental work was likely torturous to her teeth
The teeth of an aristocratic French woman who lived at the turn of the 17th century were held in place with fine gold wires, a new study has found.
www.livescience.com
'紀異 or Science' 카테고리의 다른 글
| 한 문장에 1천288개 단어를 쑤셔 박은 윌리엄 포크너 (2) | 2025.04.02 |
|---|---|
| 노르만 정복으로 끝난 잉글랜드 색슨 왕조 (1) | 2025.04.01 |
| 토목황제 아드리아누스가 바꾼 로마 제국 (0) | 2025.03.31 |
| 17세기 전염병이 앗아간 떼죽음이 뉘른베르크에서 (0) | 2025.03.30 |
| 우갈 우갈 하는 우갈루 (0) | 2025.03.30 |